
Π’ΡΠ°Π½ΡΠΏΠΎΡΡΠ½Π°Ρ ΠΏΠΈΡΠ°ΡΠ΅Π»ΡΠ½Π°Ρ ΡΡΠ΅Π΄Π° Π’ΠΠ‘-1
ΠΠΈΠ΄ΠΊΠΎΡΡΠ½Π°Ρ ΡΠΈΡΠΎΠ»ΠΎΠ³ΠΈΡ β ΠΈΠ½Π½ΠΎΠ²Π°ΡΠΈΠΎΠ½Π½Π°Ρ Π°Π»ΡΡΠ΅ΡΠ½Π°ΡΠΈΠ²Π° ΡΡΠ°Π΄ΠΈΡΠΈΠΎΠ½Π½ΠΎΠΌΡ ΡΠΈΡΠΎΠΈΡΡΠ»Π΅Π΄ΠΎΠ²Π°Π½ΠΈΡ. Π‘Π΅Π³ΠΎΠ΄Π½Ρ ΠΎΠ½Π° ΠΏΡΠΈΠ·Π½Π°Π½Π° Π½Π°ΠΈΠ±ΠΎΠ»Π΅Π΅ ΠΈΠ½ΡΠΎΡΠΌΠ°ΡΠΈΠ²Π½ΡΠΌ ΡΠΏΠΎΡΠΎΠ±ΠΎΠΌ ΠΏΠΎΠ»ΡΡΠ΅Π½ΠΈΡ Π±ΠΈΠΎΠ»ΠΎΠ³ΠΈΡΠ΅ΡΠΊΠΎΠ³ΠΎ ΠΌΠ°ΡΠ΅ΡΠΈΠ°Π»Π° ΠΈ ΡΠ΅ΠΊΠΎΠΌΠ΅Π½Π΄ΠΎΠ²Π°Π½Π° Π² ΠΊΠ°ΡΠ΅ΡΡΠ²Π΅ Β«Π·ΠΎΠ»ΠΎΡΠΎΠ³ΠΎ ΡΡΠ°Π½Π΄Π°ΡΡΠ°Β» Π΄ΠΈΠ°Π³Π½ΠΎΡΡΠΈΠΊΠΈ ΠΈΠ½ΡΡΠ°ΡΠΏΠΈΡΠ΅Π»ΠΈΠ°Π»ΡΠ½ΡΡ Π½Π΅ΠΎΠΏΠ»Π°Π·ΠΈΠΉ ΡΠ»ΠΈΠ·ΠΈΡΡΠΎΠΉ ΡΠ΅ΡΠ²ΠΈΠΊΠ°Π»ΡΠ½ΠΎΠ³ΠΎ ΠΊΠ°Π½Π°Π»Π° ΠΈ Π²Π»Π°Π³Π°Π»ΠΈΡΠ½ΠΎΠΉ ΡΠ°ΡΡΠΈ ΡΠ΅ΠΉΠΊΠΈ ΠΌΠ°ΡΠΊΠΈ.
ΠΡΠ΅ΠΈΠΌΡΡΠ΅ΡΡΠ²Π° ΠΌΠ΅ΡΠΎΠ΄Π°:
- ΡΠ½ΠΈΠΆΠ΅Π½ΠΈΠ΅ ΠΏΡΠΎΡΠ΅Π½ΡΠ° ΠΏΠΎΡΠ΅ΡΠΈ ΠΊΠ»Π΅ΡΠΎΡΠ½ΠΎΠ³ΠΎ ΠΌΠ°ΡΠ΅ΡΠΈΠ°Π»Π°;
- Π΄Π»ΠΈΡΠ΅Π»ΡΠ½ΡΠΉ ΡΡΠΎΠΊ Ρ ΡΠ°Π½Π΅Π½ΠΈΡ Π±ΠΈΠΎΠ»ΠΎΠ³ΠΈΡΠ΅ΡΠΊΠΎΠ³ΠΎ ΠΌΠ°ΡΠ΅ΡΠΈΠ°Π»Π°;
- ΡΠ½ΠΈΠΆΠ΅Π½ΠΈΠ΅ ΠΎΡΠΈΠ±ΠΎΠΊ ΠΏΡΠ΅Π°Π½Π°Π»ΠΈΡΠΈΡΠ΅ΡΠΊΠΎΠ³ΠΎ ΡΡΠ°ΠΏΠ° (ΡΡΠ°Π½Π΄Π°ΡΡΠΈΠ·Π°ΡΠΈΡ ΠΏΡΠΈΠ³ΠΎΡΠΎΠ²Π»Π΅Π½ΠΈΡ ΠΈ ΠΎΠΊΡΠ°ΡΠΈΠ²Π°Π½ΠΈΡ ΡΠΈΡΠΎΠ»ΠΎΠ³ΠΈΡΠ΅ΡΠΊΠΈΡ ΠΌΠ°Π·ΠΊΠΎΠ²);
- ΠΏΠΎΠ²ΡΡΠ΅Π½ΠΈΠ΅ ΠΊΠ°ΡΠ΅ΡΡΠ²Π° ΡΠΈΡΠΎΠ»ΠΎΠ³ΠΈΡΠ΅ΡΠΊΠΎΠ³ΠΎ ΠΏΡΠ΅ΠΏΠ°ΡΠ°ΡΠ°;
- Π²ΠΎΠ·ΠΌΠΎΠΆΠ½ΠΎΡΡΡ ΠΏΠΎΠ²ΡΠΎΡΠ½ΠΎΠ³ΠΎ ΠΈΡΡΠ»Π΅Π΄ΠΎΠ²Π°Π½ΠΈΡ ΠΈ/ΠΈΠ»ΠΈ ΠΏΡΠΈΠΌΠ΅Π½Π΅Π½ΠΈΡ Π΄ΠΎΠΏΠΎΠ»Π½ΠΈΡΠ΅Π»ΡΠ½ΡΡ ΠΌΠ΅ΡΠΎΠ΄ΠΈΠΊ.
Π‘ΡΠ°Π²Π½Π΅Π½ΠΈΠ΅ ΡΡΠ°Π΄ΠΈΡΠΈΠΎΠ½Π½ΠΎΠΉ ΠΈ ΠΆΠΈΠ΄ΠΊΠΎΡΡΠ½ΠΎΠΉ ΡΠΈΡΠΎΠ»ΠΎΠ³ΠΈΠΈ
| ΠΠ°ΡΠ°ΠΌΠ΅ΡΡ | Π’ΡΠ°Π΄ΠΈΡΠΈΠΎΠ½Π½Π°Ρ ΡΠΈΡΠΎΠ»ΠΎΠ³ΠΈΡ | ΠΠΈΠ΄ΠΊΠΎΡΡΠ½Π°Ρ ΡΠΈΡΠΎΠ»ΠΎΠ³ΠΈΡ |
|---|---|---|
| Π€ΠΎΠ½ΠΎΠ²ΡΠ΅ ΡΠ»Π΅ΠΌΠ΅Π½ΡΡ | ΠΠ±ΠΈΠ»ΡΠ½ΠΎΠ΅ ΠΊΠΎΠ»ΠΈΡΠ΅ΡΡΠ²ΠΎ | ΠΠΈΠ½ΠΈΠΌΠ°Π»ΡΠ½ΠΎΠ΅ ΠΊΠΎΠ»ΠΈΡΠ΅ΡΡΠ²ΠΎ |
| Π Π°ΡΠΏΡΠ΅Π΄Π΅Π»Π΅Π½ΠΈΠ΅ ΠΌΠ°ΡΠ΅ΡΠΈΠ°Π»Π° Π½Π° ΡΡΠ΅ΠΊΠ»Π΅ | ΠΠ΅ΡΠ°Π²Π½ΠΎΠΌΠ΅ΡΠ½ΠΎΠ΅ | Π Π°Π²Π½ΠΎΠΌΠ΅ΡΠ½ΠΎΠ΅ |
| ΠΠΊΡΠ°ΡΠΈΠ²Π°Π½ΠΈΠ΅ | ΠΠ΅ΡΠ°Π²Π½ΠΎΠΌΠ΅ΡΠ½ΠΎΠ΅ | Π Π°Π²Π½ΠΎΠΌΠ΅ΡΠ½ΠΎΠ΅ |
| Π‘ΠΎΡ ΡΠ°Π½Π½ΠΎΡΡΡ ΠΌΠ°ΡΠ΅ΡΠΈΠ°Π»Π° | ΠΠΎΡΠ²Π»Π΅Π½ΠΈΠ΅ Π°ΡΡΠ΅ΡΠ°ΠΊΡΠΎΠ² ΠΏΡΠΈ Π½Π°ΡΡΡΠ΅Π½ΠΈΠΈ ΠΏΡΠ°Π²ΠΈΠ» ΡΡΠ°Π½ΡΠΏΠΎΡΡΠΈΡΠΎΠ²ΠΊΠΈ | ΠΠΎΠ»Π½Π°Ρ |
| ΠΠ°ΡΠ΅ΡΡΠ²ΠΎ ΠΏΡΠ΅ΠΏΠ°ΡΠ°ΡΠ° | Π§Π°ΡΡΠΎ Π½Π΅Π°Π΄Π΅ΠΊΠ²Π°ΡΠ½ΠΎΠ΅ | Π‘ΡΠ°Π½Π΄Π°ΡΡΠΈΠ·ΠΎΠ²Π°Π½Π½ΠΎΠ΅ |
| ΠΠΎΠ·ΠΌΠΎΠΆΠ½ΠΎΡΡΡ Π΄ΠΎΠΏΠΎΠ»Π½ΠΈΡΠ΅Π»ΡΠ½ΡΡ ΠΌΠ΅ΡΠΎΠ΄ΠΈΠΊ | ΠΠ³ΡΠ°Π½ΠΈΡΠ΅Π½Π½ΠΎ, ΡΡΡΠ΄ΠΎΠ΅ΠΌΠΊΠΎ | ΠΠΎΠ·ΠΌΠΎΠΆΠ½ΠΎ (ΠΠ¦Π , ΠΠ¦Π₯, cellβblock) |
Π‘ΡΡΠ΅ΡΡΠ²Π΅Π½Π½ΡΠ΅ Π½Π΅Π΄ΠΎΡΡΠ°ΡΠΊΠΈ ΠΌΠ΅ΡΠΎΠ΄Π° ΡΠ²ΡΠ·Π°Π½Ρ Ρ ΡΠ°ΡΡ ΠΎΠ΄Π½ΡΠΌΠΈ ΠΌΠ°ΡΠ΅ΡΠΈΠ°Π»Π°ΠΌΠΈ, Π° ΠΈΠΌΠ΅Π½Π½ΠΎ Ρ ΠΏΡΠ΅Π΄ΡΡΠ°Π²Π»Π΅Π½Π½ΡΠΌΠΈ Π½Π° ΡΡΠ½ΠΊΠ΅ ΡΡΠ°Π½ΡΠΏΠΎΡΡΠ½ΡΠΌΠΈ ΡΡΠ΅Π΄Π°ΠΌΠΈ. ΠΠΎ-ΠΏΠ΅ΡΠ²ΡΡ , Π²Π»ΠΈΡΠ½ΠΈΠ΅ ΠΊΠΎΠ½ΡΠ΅ΡΠ²Π°Π½ΡΠΎΠ² ΡΡΠ°Π½ΡΠΏΠΎΡΡΠ½ΠΎΠΉ ΡΡΠ΅Π΄Ρ ΠΏΡΠΈΠ²ΠΎΠ΄ΠΈΡ ΠΊ ΠΈΠ·ΠΌΠ΅Π½Π΅Π½ΠΈΡ ΠΌΠΎΡΡΠΎΠ»ΠΎΠ³ΠΈΠΈ ΠΊΠ»Π΅ΡΠΎΠΊ. ΠΠΎ-Π²ΡΠΎΡΡΡ , ΠΈΠ·-Π·Π° Π΄Π΅Π³ΠΈΠ΄ΡΠ°ΡΠ°ΡΠΈΠΈ ΠΊΠ»Π΅ΡΠΎΠΊ ΠΊΠΎΠΌΠΏΠΎΠ½Π΅Π½ΡΠ°ΠΌΠΈ ΡΡΠ΅Π΄Ρ ΠΈ ΡΠΏΠ»ΠΎΡΠ½Π΅Π½ΠΈΡ ΠΊΠ»Π΅ΡΠΎΡΠ½ΡΡ ΡΡΡΡΠΊΡΡΡ Π²ΠΎΠ·Π½ΠΈΠΊΠ°Π΅Ρ ΠΏΡΠΈΠ²ΡΠ·Π°Π½Π½ΠΎΡΡΡ ΠΊ ΠΌΠ΅ΡΠΎΠ΄Ρ ΠΎΠΊΡΠ°ΡΠΊΠΈ.
Π’ΡΠ°Π½ΡΠΏΠΎΡΡΠ½Π°Ρ ΠΏΠΈΡΠ°ΡΠ΅Π»ΡΠ½Π°Ρ ΡΡΠ΅Π΄Π° Π’ΠΠ‘-1 ΡΠ΅ΡΠ°Π΅Ρ ΡΡΠΈ ΠΏΡΠΎΠ±Π»Π΅ΠΌΡ: ΠΎΠ½Π° ΠΌΠΈΠ½ΠΈΠΌΠΈΠ·ΠΈΡΡΠ΅Ρ Π°Π³ΡΠ΅ΡΡΠΈΠ²Π½ΠΎΠ΅ Π²Π»ΠΈΡΠ½ΠΈΠ΅ Π½Π° ΠΊΠ»Π΅ΡΠΊΠΈ Π±Π»Π°Π³ΠΎΠ΄Π°ΡΡ ΠΎΡΡΡΡΡΡΠ²ΠΈΡ ΡΠΏΠΈΡΡΠΎΠ²ΡΡ ΠΊΠΎΠ½ΡΠ΅ΡΠ²Π°Π½ΡΠΎΠ² ΠΈ ΡΠΎΡ ΡΠ°Π½ΡΠ΅Ρ ΠΌΠΎΡΡΠΎΠ»ΠΎΠ³ΠΈΡ ΠΊΠ»Π΅ΡΠΎΠΊ Π°Π½Π°Π»ΠΎΠ³ΠΈΡΠ½ΠΎΠΉ ΡΡΠ°Π΄ΠΈΡΠΈΠΎΠ½Π½ΠΎΠΉ ΡΠΈΡΠΎΠ»ΠΎΠ³ΠΈΠΈ, Π° Π΅Ρ ΠΈΠ½Π½ΠΎΠ²Π°ΡΠΈΠΎΠ½Π½ΡΠΉ ΡΠΎΡΡΠ°Π² ΠΏΠΎΠ·Π²ΠΎΠ»ΡΠ΅Ρ ΠΈΡΠΏΠΎΠ»ΡΠ·ΠΎΠ²Π°ΡΡ ΡΠ°Π·Π»ΠΈΡΠ½ΡΠ΅ ΠΌΠ΅ΡΠΎΠ΄Ρ ΠΎΠΊΡΠ°ΡΠΈΠ²Π°Π½ΠΈΡ ΠΏΡΠ΅ΠΏΠ°ΡΠ°ΡΠΎΠ².
ΠΡΠ΅ΠΈΠΌΡΡΠ΅ΡΡΠ²Π° Π’ΠΠ‘-1:
- ΡΠΎΡ ΡΠ°Π½Π΅Π½ΠΈΠ΅ ΠΌΠΎΡΡΠΎΠ»ΠΎΠ³ΠΈΠΈ ΠΊΠ»Π΅ΡΠΎΠΊ Π΄ΠΎ 7 Π΄Π½Π΅ΠΉ ΠΏΡΠΈ ΠΊΠΎΠΌΠ½Π°ΡΠ½ΠΎΠΉ ΡΠ΅ΠΌΠΏΠ΅ΡΠ°ΡΡΡΠ΅;
- ΡΠΎΠ²ΠΌΠ΅ΡΡΠΈΠΌΠ° Ρ Π»ΡΠ±ΡΠΌ ΡΠΈΠΏΠΎΠΌ ΠΌΠ°ΡΠ΅ΡΠΈΠ°Π»Π° (ΡΠΎΡΠΊΠΎΠ±Ρ, ΠΌΠ°ΡΠ΅ΡΠΈΠ°Π» Π’ΠΠΠ ΡΠ°Π·Π»ΠΈΡΠ½ΡΡ Π»ΠΎΠΊΠ°Π»ΠΈΠ·Π°ΡΠΈΠΉ);
- ΡΠΎΠ²ΠΌΠ΅ΡΡΠΈΠΌΠ° ΡΠΎ Π²ΡΠ΅ΠΌΠΈ Π²ΠΈΠ΄Π°ΠΌΠΈ ΠΎΠΊΡΠ°ΡΠΊΠΈ (Π ΠΎΠΌΠ°Π½ΠΎΠ²ΡΠΊΠΎΠ³ΠΎ, ΠΠ°ΠΏΠ΅Π½Π³Π΅ΠΉΠΌΠ°, ΠΠ΅ΠΉΡΠΌΠ°Π½Π°, ΠΠ°ΠΏΠ°Π½ΠΈΠΊΠΎΠ»Π°Ρ, ΠΠ°ΠΉ-ΠΡΡΠ½Π²Π°Π»ΡΠ΄ ΠΠΈΠΌΠ·Π΅, ΠΈ Π΄Ρ.);
- Π²ΠΎΠ·ΠΌΠΎΠΆΠ½ΠΎΡΡΡ Π΄ΠΎΠΏΠΎΠ»Π½ΠΈΡΠ΅Π»ΡΠ½ΡΡ ΠΈΡΡΠ»Π΅Π΄ΠΎΠ²Π°Π½ΠΈΠΉ (ΠΠ¦Π₯, Π€ΠΠ¦Π₯, ΠΠ¦Π , NGS, cell-block).
ΠΠ°ΡΠΈΠ°Π½ΡΡ ΡΠ°ΡΠΎΠ²ΠΊΠΈ Π’ΠΠ‘-1
1,5 ΠΌΠ»
ΠΡΠ½ΠΊΡΠΈΡ ΠΌΡΠ³ΠΊΠΎΡΠΊΠ°Π½Π½ΡΡ ΠΎΠ±ΡΠ°Π·ΠΎΠ²Π°Π½ΠΈΠΉ β ΠΌΠΎΠ»ΠΎΡΠ½Π°Ρ ΠΈ ΡΠΈΡΠΎΠ²ΠΈΠ΄Π½Π°Ρ ΠΆΠ΅Π»Π΅Π·Ρ, ΠΏΠ΅ΡΠ΅Π½Ρ, Π»ΠΈΠΌΡΠΎΡΠ·Π»Ρ.

5,0 ΠΌΠ»/10,0 ΠΌΠ»
ΠΡΠ½ΠΊΡΠΈΡ ΠΌΡΠ³ΠΊΠΎΡΠΊΠ°Π½Π½ΡΡ ΠΎΠ±ΡΠ°Π·ΠΎΠ²Π°Π½ΠΈΠΉ, ΡΠΎΡΠΊΠΎΠ±Ρ Ρ ΠΏΠΎΠ²Π΅ΡΡ Π½ΠΎΡΡΠ½ΡΡ ΠΎΠΏΡΡ ΠΎΠ»Π΅ΠΉ Π² ΡΠΎΠΌ ΡΠΈΡΠ»Π΅ ΡΠ΅ΠΉΠΊΠΈ ΠΌΠ°ΡΠΊΠΈ ΠΏΡΠΈ Π·Π°Π±ΠΎΡΠ΅ Π±ΠΈΠΎΠΌΠ°ΡΠ΅ΡΠΈΠ°Π»Π° ΡΡΠΎΠ³Π΅Π½ΠΈΡΠ°Π»ΡΠ½ΡΠΌ Π·ΠΎΠ½Π΄ΠΎΠΌ.

20,0 ΠΌΠ»
Π‘ΠΎΡΠΊΠΎΠ±Ρ ΠΈ ΠΌΠ°Π·ΠΊΠΈ Ρ ΠΏΠΎΠ²Π΅ΡΡ Π½ΠΎΡΡΠ½ΡΡ ΠΎΠ±ΡΠ°Π·ΠΎΠ²Π°Π½ΠΈΠΉ. Π‘ΠΊΡΠΈΠ½ΠΈΠ½Π³ ΡΠ°ΠΊΠ° ΡΠ΅ΠΉΠΊΠΈ ΠΌΠ°ΡΠΊΠΈ. ΠΠΎΠΌΠΏΠ»ΠΈΠΌΠ΅Π½ΡΠ°ΡΠ½Π° Π»ΡΠ±ΡΠΌ ΡΠ΅ΡΠΊΠ°ΠΌ.

ΠΡΠΈΠΌΠ΅Ρ ΠΈΡΠΏΠΎΠ»ΡΠ·ΠΎΠ²Π°Π½ΠΈΡ ΠΏΡΠΈ ΠΏΡΠ½ΠΊΡΠΈΡΠΎΠ²Π°Π½ΠΈΠΈ
ΡΠ°ΡΠΎΠ²ΠΊΠ° 1,5 ΠΌΠ».
ΠΠ΅ΡΠ²ΡΠΉ ΡΠ°Π³
ΠΠΎΠ»ΡΡΠ΅Π½ΠΈΠ΅ ΠΌΠ°ΡΠ΅ΡΠΈΠ°Π»Π° ΠΏΡΠΈ ΡΠΎΠ½ΠΊΠΎΠΈΠ³ΠΎΠ»ΡΠ½ΠΎΠΉ Π°ΡΠΏΠΈΡΠ°ΡΠΈΠΎΠ½Π½ΠΎΠΉ Π±ΠΈΠΎΠΏΡΠΈΠΈ.

ΠΡΠΎΡΠΎΠΉ ΡΠ°Π³
ΠΠ½Π΅ΡΠ΅Π½ΠΈΠ΅ ΠΌΠ°ΡΠ΅ΡΠΈΠ°Π»Π° Π² ΡΡΠ΅Π΄Ρ Π’ΠΠ‘-1.
- ΠΠ½Π΅ΡΠ΅Π½ΠΈΠ΅ ΠΌΠ°ΡΠ΅ΡΠΈΠ°Π»Π° ΠΏΡΡΠ΅ΠΌ ΠΏΡΠΎΠΊΠ°Π»ΡΠ²Π°Π½ΠΈΡ ΠΊΡΡΡΠΊΠΈ ΠΏΡΠΎΠ±ΠΈΡΠΊΠΈ. ΠΡΠΊΠ»ΡΡΠ°Π΅Ρ Π»ΡΠ±ΡΡ Π²ΠΎΠ·ΠΌΠΎΠΆΠ½ΡΡ ΠΊΠΎΠ½ΡΠ°ΠΌΠΈΠ½Π°ΡΠΈΡ.
- ΠΡΠΏΠΈΡΠ°ΡΠΈΡ ΡΠ°ΡΡΠ²ΠΎΡΠ° Π’ΠΠ‘-1 Π΄Π»Ρ ΠΏΡΠΎΠΌΡΠ²Π°Π½ΠΈΡ ΠΈΠ³Π»Ρ. Π‘ΡΡΠ΅ΡΡΠ²Π΅Π½Π½ΠΎ ΡΠ²Π΅Π»ΠΈΡΠΈΠ²Π°Π΅Ρ ΠΏΡΠΎΡΠ΅Π½Ρ ΠΊΠ»Π΅ΡΠΎΡΠ½ΠΎΠ³ΠΎ ΠΌΠ°ΡΠ΅ΡΠΈΠ°Π»Π°.
- ΠΠΊΠΎΠ½ΡΠ°ΡΠ΅Π»ΡΠ½ΠΎΠ΅ Π²Π½Π΅ΡΠ΅Π½ΠΈΠ΅ ΠΌΠ°ΡΠ΅ΡΠΈΠ°Π»Π°.

Π’ΡΠ΅ΡΠΈΠΉ ΡΠ°Π³
ΠΡΠΈΠ³ΠΎΡΠΎΠ²Π»Π΅Π½ΠΈΠ΅ ΡΠΈΡΠΎΠ»ΠΎΠ³ΠΈΡΠ΅ΡΠΊΠΈΡ ΠΏΡΠ΅ΠΏΠ°ΡΠ°ΡΠΎΠ², ΠΏΡΠΎΠ²Π΅Π΄Π΅Π½ΠΈΠ΅ Π΄ΠΎΠΏΠΎΠ»Π½ΠΈΡΠ΅Π»ΡΠ½ΡΡ ΠΈΡΡΠ»Π΅Π΄ΠΎΠ²Π°Π½ΠΈΠΉ (ΠΠ¦Π₯, Π€ΠΠ¦Π₯, ΠΠ¦Π , NGS, cell-block).

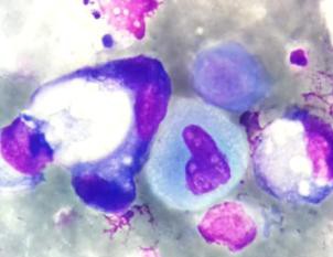
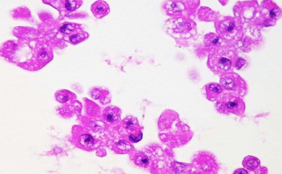
ΠΠ½ΡΡΠ°ΠΎΠΏΠ΅ΡΠ°ΡΠΈΠΎΠ½Π½ΡΠΉ ΡΠΎΡΠΊΠΎΠ± Ρ Π»Π΅Π³ΠΊΠΎΠ³ΠΎ




ΠΠ½ΡΡΠ°ΠΎΠΏΠ΅ΡΠ°ΡΠΈΠΎΠ½Π½ΡΠΉ ΡΠΎΡΠΊΠΎΠ± Ρ Π»Π΅Π³ΠΊΠΎΠ³ΠΎ
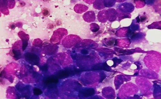
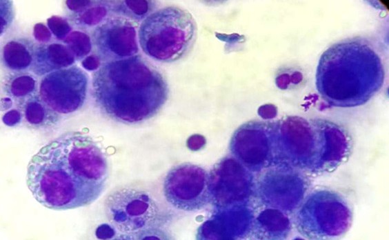
5 Π΄Π΅Π½Ρ Π² Π’ΠΠ‘-1




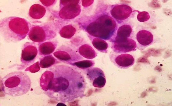
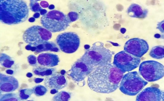
ΠΡΠ°Π΄ΠΎΠΊ Π°ΡΡΠΈΡΠΈΡΠ΅ΡΠΊΠΎΠΉ ΠΆΠΈΠ΄ΠΊΠΎΡΡΠΈ




ΠΡΠ°Π΄ΠΎΠΊ Π°ΡΡΠΈΡΠΈΡΠ΅ΡΠΊΠΎΠΉ ΠΆΠΈΠ΄ΠΊΠΎΡΡΠΈ
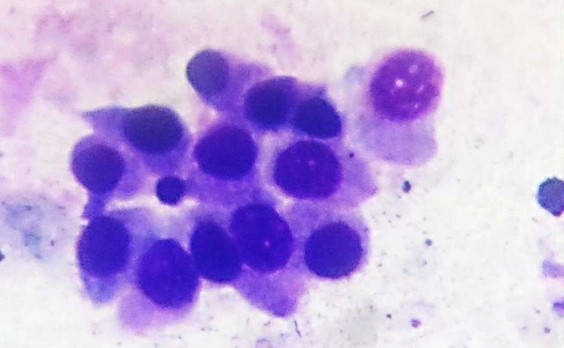
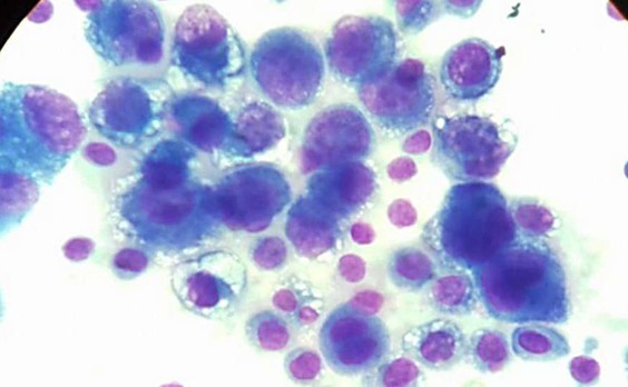
7 Π΄Π΅Π½Ρ Π² Π’ΠΠ‘-1



